Inmiddels zit ik ongeveer op de helft van mijn traject bij de orthodontist en misschien vinden jullie het leuk om een update te lezen. Ik krijg namelijk regelmatig mails van lezers die willen weten hoe het ervoor staat. Ook omdat ze soms zelf overwegen een dergelijk traject in te gaan.
Een kleine voorgeschiedenis: als kind heb ik gebeugeld, een paar jaar lang. Dat was een hapbeugel die je tijden het eten uit kon doen. Verder droeg ik hem dag en nacht, een paar jaar lang. Toentertijd (eind jaren ’70) beugelde je nog ‘gewoon’ bij je eigen tandarts, nu is dat niet meer zo.
Mijn overbeet is nooit helemaal weg gegaan. Mijn kaak is te klein en ik heb jaren geduimd. De laatste 10 jaar ging ik mij steeds meer ergeren aan de overbeet, ook omdat het steeds erger werd. Het was niet alleen de overbeet, inmiddels stonden mijn tanden ook steeds rommeliger door en achter elkaar. Poetsen en schoonhouden werd hierdoor ook steeds moeilijker.
De tandarts had al meerdere malen opgemerkt dat een beugel bij mij geen luxe maar noodzaak zou zijn, aangezien het ‘lopen van de tanden’ met het ouder worden alleen maar erger zou worden. Omdat ik door de ME jarenlang te beroerd was, schoof ik het nemen van een beslissing voor me uit. Vorig jaar vond ik dat ik voldoende was opgeknapt om niet alleen wat ongemak van een beugel in de mond te kunnen verdragen, maar ook elke 4 weken een bezoek aan de praktijk van de orthodontist te kunnen afleggen. Want dat laatste was eigenlijk waar ik tot dan toe altijd tegenaan hikte.
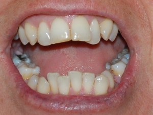
Afijn, ik maakte een afspraak en de orthodontist was het volledig met me eens dat het er niet fraai uitzag. Ter voorbereiding werden er 4 kiezen getrokken omdat ik te weinig ruimte in de kaak heb. Na het plaatsen van de beugel in juli 2015 vond ik het geweldig om te zien hoe snel alles gecorrigeerd werd. Ik heb nog steeds een flinke overbeet maar alle tanden staan inmiddels netjes op een rij. Kijk maar eens:
 |
| juli 2015 |
 |
| december 2015 |
 |
| september 2016 |
De laatste maanden heb ik niet heel veel vooruitgang gezien. Dat komt vooral doordat we bezig zijn geweest met het opvullen van de gaten die zijn ontstaan door het trekken van de kiezen. De achterste kiezen zijn wat naar voren gehaald en de hoektanden zijn naar achteren geschoven doordat ze powerchains gebruiken. Zo wordt er ruimte gemaakt om de overbeet te corrigeren.
Inmiddels draag ik ook 12 uur per dag elastiekjes. Om te wennen, uiteindelijk moet het 24 uur per dag. Deze elastiekjes moeten de onderkaak en de bovenkaak goed passend op elkaar gaan zetten (de overbeet verminderen) en worden aan de haakjes van de brackets boven en beneden gehaakt. De spanning die op de kaak ontstaat hierdoor, went verrassend snel en valt me enorm mee.
Waar het bij mij heel langzaam en geleidelijk gaat, gaat het bij kind veel sneller. Hij kreeg zijn beugel tegelijk met die van mij en hij is al veel verder. Een kinderkaak is veel soepeler te corrigeren. En waar ik echt strak elke 4 weken moet opdraven voor wat aandraaiwerk, zit er bij hem meestal 6 weken tussen de verschillende afspraken.
Het pijn en de ongemak vallen me mee. Ik kan het wat energie betreft goed managen en zorg er altijd voor dat ik de dagen voor en na een afspraak wat meer rust pak en ook vloeibaar voedsel op voorraad heb. Zo is het goed te doen. Ook had ik al snel door dat het best veel uitmaakt wie de boel in den bek aanschroeft. Tegenwoordig plan ik de afspraken zo dat ik meestal na de ochtendpauze een afspraak heb. Dan mag je zelf kiezen in welke stoel je gaat liggen. De groene achterin is mijn favoriet. De dame die daar werkt legt alles duidelijk uit, is geconcentreerd bezig en niet continu over zichzelf aan het ouwehoeren. Ik heb nauwelijks napijn als zij me heeft geholpen en geen uitstekende draden die mijn wang openprikken.
Dat duurde wel even voordat ik het doorhad. Ik voelde een soort misplaatste loyaliteit naar de dame die bij mij de beugel heeft geplaatst en kwam de eerste afspraken ook altijd bij haar in de stoel terecht. Maar het bloed droop soms letterlijk mijn mond uit. Om het maar niet te hebben over hoe ze deed, het is best moeilijk om een elleboog te ontwijken als je plat op een stoel ligt en nergens naar toe kunt. Ik besloot dus eens te gaan hoppen van stoel naar stoel en kwam erachter dat de beleving van het consult zelf en de eventuele napijn ook wel heel erg in handen ligt van degene die je op dat moment helpt.
Hoe het eindresultaat zal worden weet ik niet. De orthodontist die toen de intake hield, is weg. Ziek volgens mij maar daar worden geen mededelingen overgedaan. Hij hield best een jubelverhaal over dat mijn gebit prachtig strak zou worden. De orthodontist die hem vervangt is een stuk terughoudender en zegt heel eerlijk dat de overbeet zo groot is dat het heel moeilijk te corrigeren is. Gaan de tanden teveel naar achteren dan sluiten de kiezen niet meer aan. Deze eerlijkheid waardeer ik meer dan het jubelverhaal dat ik van de ander kreeg.
Wat zijn de kosten tot nu toe? Ik kreeg vorig jaar een begroting van € 2350,-. Omdat ik koos voor keramische brackets kwam daar nog eens €110,- bij. De begroting is gebaseerd op 1,5 jaar beugelen en zodoende niet heel realistisch want ik schat dat het in totaal zeker 2 tot 2,5 jaar gaat duren.
Uitgaven tot nu toe:
|
controle/behandeling 2016
|
45,18
|
|
tussentijds foto’s maken
|
16,13
|
|
controle/behandeling 2015
|
188,10
|
|
intake/foto’s, gebitsmodellen, plaatsen beugel
|
1140,25
|
|
totaal
|
1389,66
|
In 2015 heb ik alle kosten zelf gedragen, in 2016 ging mijn verzekering uitkeren en draag ik alleen een klein bedrag van €7,53 per maand bij aan het maandelijkse consult van €38,19. Ik ben voor een totaalbedrag tot € 500 verzekerd, dus zal ergens begin volgend jaar wel helemaal zelf moeten gaan betalen.
Die verzekering heb ik genomen omdat kind ook ging beugelen. Mijn verzekeraar FNV-Menzis hanteert een wachttijd van een jaar voordat je kunt declareren. De verzekering is best prijzig namelijk €40,85 per maand. Als ik alleen was geweest, was de verzekering door de te hanteren wachttijd van een jaar vette onzin geweest. Gezien het te declareren bedrag van €500 en het vooraf te betalen bedrag van 12 x € 40,85 krijg je uiteindelijk maar liefs € 10 vergoed. Jeej! Ik begrijp wel waarom verzekeraars winst maken!
Maar kinderen krijgen met deze verzekering tot € 2000,- uitgekeerd en dat is wel de moeite waard natuurlijk. Mocht je overwegen om zelf ook te gaan beugelen, is het echt zaak dit goed uit te zoeken maar ook dan zit je niet altijd goed. Toen ik mijn verzekering afsloot, werden beugels tot volwassenen tot € 1000 vergoed bij FNV-Menzis. Toen de wachttijd voorbij was en ik mocht gaan declareren waren de voorwaarden ineens veranderd en gold er nog een maximumbedrag van €500,-. Dat is toen een klein relletje geworden want wilde ik überhaupt nog iets vergoed krijgen dan moest ik ook een uitgebreider pakket nemen en gold er opnieuw een wachttijd van een jaar. Uiteindelijk is het wel opgelost met Menzis maar lullig was het wel. En overstappen doe je ook niet snel want veel verzekeraars willen dan weer dat je eerst een jaar betaalt voordat je declareert.
Afijn, dat was dat en ik zit ongeveer op de helft van mijn traject. Ik ben blij met de resultaten tot nu toe. En droom van appels waar ik straks weer in mag bijten….