Achter me ligt een drukke week met iets meer röring dan ik eigenlijk aankan maar wel heel fijn. Ik kreeg vrij onverwacht bezoek van een vriendin die in Frankrijk woont. Wij hebben jaren achter elkaar bij haar een vakantiehuis gehuurd en daar is een heel fijn contact uit gekomen. Inmiddels is zij verhuisd en verhuurt ze niet meer maar het contact is gebleven. Zij was een paar dagen in Nederland, stuurde maandag een berichtje met de vraag of het uitkwam als ze dinsdag kwam en we hadden een heerlijke middag.
Voor mij zijn dit soort ontmoetingen eigenlijk het fijnst. Gewoon spontaan. Niet te lang van te voren de agenda volbouwen met afspraken. Mijn hoofd kan daar helemaal niet tegen. Mijn agenda is dus ook meestal maagdelijk leeg op afspraken met behandelaars na. Ik heb sowieso geen energie om wekelijks sociale afspraken te hebben maar zo heel af en toe lukt het. Ik heb genoten en het fijne is dat we elkaar wellicht in de zomer ook gaan zien aangezien haar nieuwe woonplek vlakbij onze geboekte vakantiewoning in de Dordogne is.
Woensdag was ik behoorlijk brak door de onverwachte afspraak maar moest ik wel naar de ortho om de beugel te laten verwijderen. Natuurlijk was het niet zo slim om dinsdag bezoek te laten komen maar dit was dus een gevalletje bewust grenzen overschrijden. Bezoek uit Frankrijk kan nu eenmaal niet makkelijk zeggen ‘nou dan kom ik volgende week wel’. En ik teer heel lang op zo’n ontmoeting met iemand met wie ik zo goed kan praten.
Afijn, de ortho dus. Ik vond het verwijderen van de slotjes best heftig. Ik had twee soorten slotjes in mijn mond, De metalen brackets lieten makkelijk los maar de keramische zaten veel meer vast en spatten uiteindelijk helemaal uit elkaar. Gelukkig lig je in een stoel met veiligheidsbril op maar het was maar goed dat ik het advies braaf opvolgde om toch ook maar voor de zekerheid mijn ogen dicht te houden. De brokken schoten zo een paar keer onder de veiligheidsbril door en kwamen in mijn ooghoek terecht.
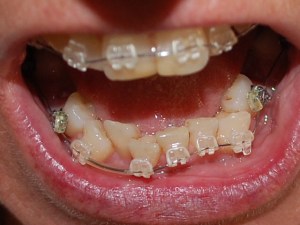
Ik kreeg van een paar mensen de vraag hoe de onderkant van mijn gebit eruit ziet, omdat dit niet goed op de foto te zien is. Komt ie:


Jullie begrijpen zeker wel waarom ik zo blij ben!
Een andere grote verrassing deze week was dat ik een berichtje kreeg van een bloglezeres of ik interesse had in wat boeken van een fantasyerie. Nu stond die schrijver toevallig op mijn lijstje graag te lezen boeken én ik heb op dit moment geen energie om naar de bieb te gaan, dus leesvoer was heel welkom. Ik ben nu de boeken van Fitz en de Nar aan het herlezen, heb dan nog wat andere boeken liggen maar dan is het wel klaar met de leesvoorraad.

Een paar boeken dacht ik, dus groot was de verrassing toen de postbode een enorme doos afleverde met 10 dikke pillen! De eerst 6 delen van Robert Jordans Het rad des tijds én drie boeken van Robert Galbraith, die ik toevallig alle drie nog niet gelezen heb. Echt heel tof dit. Dikke dank je wel J.L.!

Gaan we nu feest vieren. Onze S. is vandaag 16 geworden. Vandaag vieren we het bescheiden. Vanmiddag gaan we heel even naar Oma, die ligt met griep op bed. En de mannen gaan vanavond naar een concert van Franz Ferdinand in Tivoli. Het echte vieren met familie en wat vrienden doen we over twee weken.
Ga ik de komende dagen weer wat bijtanken hoop ik. Ik heb volgende week afspraken staan bij de fysio, de tandarts en de ortho, bij de laatste om foto’s te maken en de nachtbeugel op te halen. Verder niets. En dat is maar goed ook.
Fijn weekend allemaal!













Vorige week zondag aten we bij mijn moeder. Zus en nicht logeerden daar en hadden hun herderspup mee genomen. Nu ben ik wegens een incident in mijn kinderjaren flink bang voor herdershonden, maar met een pup zó klein, lukt me het nog wel om er in één ruimte mee te zijn. Ik heb ook de hoop dat als ik hem zo klein heb mee gemaakt, ik hem minder eng vind als hij groot is.
Kattennieuws: deze week deed ik een bestelling voor diervoer. De webshop waar ik dat altijd doe, geeft bij elke bestelling spaarpunten weg. Omdat ik inmiddels best veel spaartegoed had, bestelde ik wat speeltjes voor de katten. Ik had bij het bestellen niet door
dat één van de speelmuizen gigantisch groot is. Maar wat een succes! Gevuld met kattekruid en zó groot dat het omhelsd kan worden. De muis krijgt dagelijks een ‘beurt’ van Dibbes, Moos en Smoes die de vloer werkelijk helemaal onder kwijlen van genot. Gerrie durft niet, die is bang dat de muis hem opeet, in plaats van andersom. 😉
Eenmaal thuis wenste hij onmiddellijk een gevulde bak wegens een té lege buik maar hij moest helaas een paar uur wachten op aanraden van de arts. Die paar uur heeft hij doorgebracht naast zijn etensbak, zodat hij zeker wist dat er geen tijd verloren zou gaan tussen het vullen van de bak en de start van zijn diner.
Vanmorgen bleek dat de ellende nog niet over was want hij mag nog niet naar buiten. Hij moet een paar dagen binnenblijven. Het is toch een open wond en wie weet wat hij buiten oploopt. Hij krijgt ook nog een week antibiotica om infecties tegen te gaan en dat is geen succes. We hebben gisteren met zijn twee-en het arme beest in de houdgreep genomen en geprobeerd drie pillen naar binnen te werken. Afijn, drie pillen later was de relatie tussen mens en kat grondig verstoord, liep het zweet zo mijn bilnaad in en werd ik door kind op een pil gewezen die op de vloer lag, waarschijnlijk slinks uitgespuwd door een razende Moos. Die derde pil hebben we door het eten geprakt en dat is redelijk naar binnen gewerkt.
Gerrie reageerde nogal panisch op het feit dat we Moos weg brachten en terugkwamen zonder kat. Hij verschanste zich bovenaan de trap, zeer verontrust. Je zag hem denken: dat klopt niet hoor, je gaat weg met een kat en komt terug zonder kat, denk je dat ik niet kan tellen! Die was dus de rest van de dag geagiteerd en op zijn hoede.
Dibbes daarentegen….:-)

Nu ik weer mijn normale dagroutines oppak zit ik ook weer beter in mijn vel. Ik ben nog niet helemaal uit het zwarte gat geklommen maar wel een heel eind. Al wordt een deel ook zeker veroorzaakt door hormonen en de overgang. Ik heb wel wat ‘anger issues’ momenteel om het maar netjes te zeggen en kijk soms met verbazing naar de heks die in mij schuilt. Nou ja, waait ook wel weer over tot die tijd moeten de mannen maar een helm op doen en vaak tot 10 tellen ;-).
Op kattengebied kan ik melden dat de kat-in-de-mandtraining met Dibbes een enorm succes is en met Gerrie gaat ’t zo zo. Die wil niet echt. Maar Dibbes wel en gisteren bereikte ik een nieuwe mijlpaal. Na het oefenen met in de reismand springen en het oké vinden dat het deksel dichtgaat, was hij gisteren zover dat ik de reismand met hem erin even kon optillen, zonder dat hij in paniek raakte. Natuurlijk heb ik hem daarna weer uitbundig geprezen.